Nowy uśmiech w jeden dzień. Twoja metamorfoza 
w KralDent.

Odzyskaj pewność siebie dzięki technologii spawania wewnątrzustnego i wsparciu AI. Bezpiecznie, przewidywalnie i w zaledwie 24 godziny.

Czym jest “uśmiech w jeden dzień’?

To innowacyjna procedura, która pozwala na przywrócenie pełnego uzębienia podczas jednej wizyty. Zamiast wielomiesięcznego oczekiwania na wygojenie implantów, stosujemy technologię naświetlania UV oraz spawania wewnątrzustnego, która natychmiast stabilizuje nową konstrukcję w Twoich ustach.

Wychodzisz z gabinetu z gotowym, stałym uśmiechem, który pozwala Ci jeść i rozmawiać bez skrępowania już tego samego dnia. Cały proces opieramy na diagnostyce AI i wydrukowanym planie, który otrzymujesz od nas wcześniej. Dzięki temu zabieg jest w 100% przewidywalny, a Ty czujesz się w pełni bezpiecznie.

Jasny plan, zero niespodzianek.

W KralDent nic nie dzieje się “w ciemno”. Zanim usiądziesz na fotelu, otrzymasz od nas wydrukowany, szczegółowy plan leczenia. Każdy etap zabiegu omawiamy wspólnie na podstawie cyfrowej diagnostyki wspieranej przez sztuczną inteligencję (AI). W dniu zabiegu realizujemy tylko to, co wspólnie zatwierdziliśmy. Twoje poczucie bezpieczeństwa to nasz priorytet.

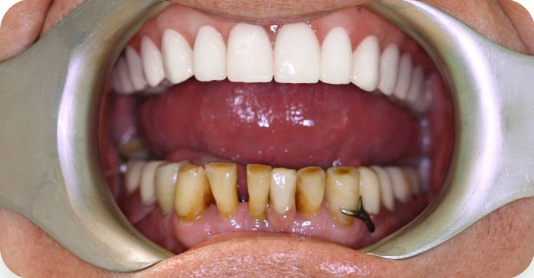
Przekonaj się sam
– metamorfozy naszych pacjentów!

Zdjęcia ukazują efekt zabiegu u konkretnego pacjenta. Efekt zabiegu może się różnić w zależności od indywidualnych cech pacjenta, liczby powtórzeń zabiegu, stosowania się pacjenta do zaleceń pozabiegowych oraz umiejętności i doświadczenia osoby przeprowadzającej zabieg.

Pozwól nam zadbać o Twój uśmiech.
Skontaktuj się, aby poznać szczegóły leczenia.

Technologia, która skraca drogę do uśmiechu.

Spawanie wewnątrzustne.

Pozwala nam na natychmiastowe i stabilne połączenie implantów z mostem. Efekt? Możesz jeść i uśmiechać się od razu po zabiegu.

Implanty naświetlane UV

Dzięki unikalnej technologii fotoaktywacji implanty goją się znacznie szybciej, a Ty szybciej cieszysz się docelowym efektem.

Diagnostyka AI

Najnowocześniejszy sprzęt RTG wspierany przez AI widzi więcej. To gwarancja 100% precyzji w planowaniu Twojego nowego uśmiechu.

Biologiczna regeneracja.

Wykorzystujemy Twoje własne zasoby (np. mielone zęby) do odbudowy kości, co jest najbardziej naturalną i bezpieczną metodą regeneracji.

Kompleksowa opieka w jednym miejscu.

Choć KralDent specjalizuje się w nowoczesnej implantologii, oferujemy również pełen zakres usług stomatologicznych na najwyższym poziomie. Zapewniamy kompleksową opiekę, nowoczesne rozwiązania i indywidualne podejście, aby każdy pacjent mógł zadbać o zdrowy, piękny uśmiech w jednym miejscu.

Zaufaj naszemu specjaliście

Paweł Kral

Przedstawiamy Dr. Pawła Krala – właściciela gabinetu KralDent i lekarza, który swoją praktykę opiera na wiedzy, doświadczeniu i konsekwentnym dążeniu do perfekcji klinicznej.

Dr Paweł Kral nieustannie podnosi swoje kwalifikacje, regularnie uczestnicząc w prestiżowych szkoleniach i konferencjach, aby być na bieżąco z najnowszymi osiągnięciami w dziedzinie implantologii, periodontologii oraz protetyki – ze szczególnym uwzględnieniem implantoprotetyki.

Ukończył Curriculum Polskie Stowarzyszenie Implantologiczne, zwieńczone państwowym egzaminem praktycznym i pisemnym. Swoje umiejętności doskonalił również w Soft Tissue Institute, uczestnicząc we wszystkich oferowanych modułach szkoleniowych, w tym w kursach prowadzonych przez Michał Szczutkowski. Szkolił się pod okiem wybitnych autorytetów w Polsce, takich jak Radosław Jadach, Małgorzata Pietruska, Sławomir Karwan oraz Witold Popowicz.

Swoje kompetencje rozwijał także podczas międzynarodowych szkoleń prowadzonych przez uznanych specjalistów, m.in. Thomas Hanser, Tomas Linkevičius, José Carlos Martins da Rosa oraz Lothar Kluba.

W 2023 roku wszczepił ponad 500 implantów różnych systemów, co potwierdza jego bogate doświadczenie kliniczne oraz zaufanie pacjentów.

Zadowolenie naszych pacjentów
to miara naszego sukcesu.

FAQ: Najczęściej zadawane pytania o „Uśmiech w jeden dzień”

Czy zabieg „uśmiech w jeden dzień” jest bolesny?

Zabieg w gabinecie KralDent jest w pełni komfortowy dzięki zastosowaniu nowoczesnych metod znieczulenia miejscowego i precyzyjnemu planowaniu 3D wspieranemu przez AI. Większość pacjentów odczuwa jedynie delikatny ucisk, a po zakończeniu procedury ewentualny dyskomfort jest skutecznie niwelowany przez standardowe środki przeciwbólowe.

Ile kosztuje usługa „uśmiechu w jeden dzień”?

Koszt kompleksowej metamorfozy jednego łuku zębowego mieści się zazwyczaj w przedziale od 30 000 zł do 50 000 zł. Cena ta obejmuje pełną diagnostykę RTG z AI, wszczepienie implantów naświetlanych UV, technologię spawania wewnątrzustnego oraz osadzenie stałego, estetycznego mostu tymczasowego. Dokładną kwotę poznasz przed zabiegiem, otrzymując od nas wydrukowany, gwarantowany kosztorys i szczegółowy plan leczenia.

Jaki jest czas rekonwalescencji po zabiegu?

Dzięki innowacyjnej technologii naświetlania implantów światłem UV proces gojenia jest znacznie szybszy niż w tradycyjnych metodach. Większość pacjentów wraca do lekkich aktywności zawodowych już po 2-3 dniach, ciesząc się stałym i stabilnym uśmiechem od razu po wyjściu z gabinetu.

Ile trwa cały zabieg?

Cały proces – od przygotowania chirurgicznego po osadzenie stałych zębów – zamyka się w ciągu jednej doby. Sam etap zabiegowy w gabinecie KralDent trwa zazwyczaj od 4 do 7 godzin, w zależności od poziomu skomplikowania i liczby wszczepianych implantów.

Jakie są zalecenia pozabiegowe?

Przez pierwsze tygodnie kluczowe jest stosowanie diety miękkiej, aby pozwolić implantom na bezpieczną integrację z kością bez nadmiernych przeciążeń mechanicznych. Niezbędna jest również rygorystyczna higiena jamy ustnej oraz stawianie się na zaplanowane wizyty kontrolne, których harmonogram otrzymasz od nas w formie wydrukowanego planu.

Napisz z nami nową historię pięknego uśmiechu 

Wiemy, że decyzja o metamorfozie uśmiechu jest ważna, dlatego u nas nie ma miejsca na domysły. Zanim zaczniemy, otrzymasz od nas wydrukowany, szczegółowy plan leczenia, oparty na cyfrowej precyzji AI. Podaj swoje dane, a my oddzwonimy, by zaprosić Cię na rozmowę, po której będziesz wiedzieć wszystko. 


W KralDent tworzymy nową jakość stomatologii, w której zaawansowana technologia AI i precyzja cyfrowa służą Twojemu poczuciu bezpieczeństwa. 

Zainteresowany?
– skontaktuj się z nami!

Podaj swoje dane, a my skontaktujemy się, aby umówić wizytę na konkretny termin

    Przegląd prywatności

    Ta strona korzysta z ciasteczek, aby zapewnić Ci najlepszą możliwą obsługę. Informacje o ciasteczkach są przechowywane w przeglądarce i wykonują funkcje takie jak rozpoznawanie Cię po powrocie na naszą stronę internetową i pomaganie naszemu zespołowi w zrozumieniu, które sekcje witryny są dla Ciebie najbardziej interesujące i przydatne.

    Ściśle niezbędne ciasteczka

    Niezbędne ciasteczka powinny być zawsze włączone, abyśmy mogli zapisać twoje preferencje dotyczące ustawień ciasteczek.

    Ciasteczka stron trzecich

    Ta strona korzysta z Google Analytics do gromadzenia anonimowych informacji, takich jak liczba odwiedzających i najpopularniejsze podstrony witryny.

    Włączenie tego ciasteczka pomaga nam ulepszyć naszą stronę internetową.